ถอนฟันคุดและผ่าฟันคุด

Wisdom Teeth Removal

การดูแลหลังผ่าฟันคุด เชียงใหม่ | post-operative care after wisdom tooth removal chiangmai

เมื่อสงสัยว่ามีฟันคุด ควรทำอย่างไร

ควรเริ่มจากการสังเกตอาการผิดปกติในช่องปาก เช่น รู้สึกปวดบริเวณฟันด้านในสุดของขากรรไกรเป็น ๆ หาย ๆ มีอาการเหงือกบวม แดง มีกลิ่นปาก หรือรู้สึกเจ็บเวลาเคี้ยวอาหาร หากคุณเป็นคนที่พบทันตแพทย์เป็นประจำ เมื่อเข้าสู่อายุประมาณ 17–18 ปี ทันตแพทย์มักจะแนะนำให้ถ่ายภาพเอกซเรย์เพื่อตรวจดูว่ามีฟันคุดอยู่หรือไม่ อยู่ในตำแหน่งใด และหากตรวจพบก็จะสามารถให้คำแนะนำหรือวางแผนการรักษาได้อย่างเหมาะสม

ฟันคุด คือ ฟันที่ไม่สามารถขึ้นมาได้ตามปกติในช่องปาก เนื่องจากมีสิ่งกีดขวางการขึ้น การสร้างหน่อฟันผิดตำแหน่ง หรือการขาดพื้นที่ให้ขึ้น มักพบบ่อยที่ฟันกรามซี่สุดท้าย (หรือฟันกรามแท้ซี่ที่สาม) และบางครั้งอาจพบที่ฟันเขี้ยวได้ด้วย ฟันคุดอาจพบได้ทั้งแบบที่โผล่พ้นเหงือกขึ้นมาบางส่วน หรือไม่พบในช่องปากเลย

ฟันกรามซี่ที่สามที่ฝังคุด หรือที่คนเหนือเรียกกันว่า “ฟันเขี้ยวซาว” เป็นฟันกรามแท้ซี่สุดท้ายในช่องปาก โดยทั่วไปจะเริ่มขึ้นเมื่ออายุ 17 ปีขึ้นไป สำหรับคนที่มีพื้นที่ขากรรไกรเพียงพอ ฟันซี่นี้ก็จะขึ้นมาในช่องปากได้ตามปกติ แต่หากมีพื้นที่ไม่พอ หรือแนวการขึ้นของฟันเอียง อาจทำให้เกิดลักษณะที่เรียกว่าฟันคุดได้ คนไข้ที่มีฟันกรามซี่ที่สามฝังคุด มักจะรู้สึกปวดบริเวณฟันด้านในสุดเป็น ๆ หาย ๆ และหากฟันคุดโผล่ขึ้นมาบางส่วน อาจมีเศษอาหารติดบริเวณนั้น ส่งผลให้ฟันข้างเคียงผุได้ด้วย หากท่านมีอาการเหล่านี้อยู่ สามารถให้ทันตแพทย์ตรวจทางคลินิกและถ่ายเอกซเรย์ได้ เพื่อวางแผนการรักษาหรือเฝ้าระวังแต่เนิ่น ๆ

ฟันคุด คืออะไร

ปกติฟันเขี้ยวบนจะขึ้นอายุประมาณ 11–12 ปี หากยังไม่ขึ้นในช่องปาก อาจเกิดจากสาเหตุดังต่อไปนี้ เช่น การไม่มีพื้นที่ให้ขึ้นเพียงพอ เนื่องจากการถอนฟันน้ำนมไปก่อนกำหนด ทำให้ฟันด้านหลังเคลื่อนมาด้านหน้า ฟันเขี้ยวบนแท้จึงไม่มีที่ขึ้นและฝังอยู่ในกระดูก ลักษณะที่พบได้บ่อยคือ ฟันแท้ซี่อื่นขึ้นแล้ว แต่ฟันเขี้ยวน้ำนมยังไม่หลุด หากผู้ปกครองเจอปัญหานี้ ให้รีบพาน้อง ๆ ไปพบทันตแพทย์เพื่อทำการตรวจทางคลินิกและเอกซเรย์ หากฟันเขี้ยวยังมีปลายรากเปิดและอยู่ในตำแหน่งเหมาะสม ทันตแพทย์สามารถจัดฟันดึงฟันฝังเขี้ยวที่ฝังอยู่ลงมาได้ แต่หากปล่อยไว้นาน การรักษาจะซับซ้อนมากยิ่งขึ้น

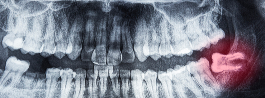
ภาพเอ็กซเรย์แสดงฟันคุดฝังในกระดูก เชียงใหม่ | impacted wisdom tooth in jaw x-ray chiangmai

ฟันคุดอันตรายแค่ไหน

  •  ฟันผุบริเวณซอกฟันและกลิ่นปาก
    ฟันกรามซี่ที่สามที่สามารถขึ้นมาได้บางส่วนและมีลักษณะเอียง อาจทำให้มีเศษอาหารติดระหว่างฟันคุดกับฟันข้างเคียง ซึ่งเป็นบริเวณที่ทำความสะอาดได้ยาก ส่งผลให้เกิดฟันผุบริเวณซอกฟันข้างเคียง และอาจทำให้มีกลิ่นปากตามมาได้

  • เหงือกบวมและปวดเป็น ๆ หาย ๆ

    เนื่องจากฟันคุดทำความสะอาดได้ยาก บางครั้งอาจมีเศษอาหารตกค้างอยู่โดยไม่รู้ตัว ทำให้เกิดการสะสมของแบคทีเรียและคราบหินปูน จนนำไปสู่การติดเชื้อ และพัฒนาเป็นโรคเหงือกอักเสบรุนแรงได้ อาการอาจรวมถึงเหงือกบวมแดง มีหนอง เป็นไข้ เจ็บคอ กลืนน้ำลายลำบาก และอ้าปากไม่ได้ หากสังเกตว่าเหงือกบริเวณฟันคุดมีอาการบวม ควรรีบพบทันตแพทย์เพื่อรับการตรวจโดยเร็ว

  • การเกิดถุงน้ำหรือเนื้องอก

    ในบางกรณี ฟันคุดที่ปล่อยไว้นานโดยไม่ได้รับการตรวจและรักษาอย่างเหมาะสม อาจทำให้เนื้อเยื่อรอบรากฟันคุดขยายตัวจนเกิดเป็นถุงน้ำ (cyst) ได้ ถุงน้ำเหล่านี้สามารถโตขึ้นโดยไม่แสดงอาการใด ๆ และอาจทำลายกระดูกบริเวณนั้น อย่างไรก็ตามภาวะนี้ไม่ได้เกิดขึ้นกับทุกคน แต่หากปล่อยไว้นานโดยไม่มีการตรวจเช็กเป็นระยะ อาจก่อปัญหาในระยะยาวได้ ดังนั้นการตรวจพบและผ่าตัดออกตั้งแต่เนิ่น ๆ จะช่วยลดความเสี่ยงจากภาวะแทรกซ้อนเหล่านี้ได้

ฟันคุดอักเสบ เหงือกบวม ปวดกราม เชียงใหม่ | infected wisdom tooth and gum swelling chiangmai

ฟันคุดมีกี่ประเภท

1. ฟันคุดที่โผล่พ้นกระดูกขึ้นมาแล้ว แต่ยังฝังอยู่ในเหงือก (soft tissue impaction) เป็นประเภทที่ผ่าออกได้ง่าย เนื่องจากไม่ต้องกรอกระดูกออก

2. ฟันคุดที่ฝังอยู่ในกระดูกบางส่วน และมีตัวฟันโผล่พ้นขึ้นมาเล็กน้อย (partial bony impaction) การผ่าตัดจะต้องมีการกรอกระดูกบางส่วนเพื่อเอาฟันออก

3. ฟันคุดที่ฝังอยู่ในกระดูกทั้งซี่ (complete bony impaction) การผ่าตัดฟันคุดประเภทนี้จะซับซ้อนและใช้เวลานานมากขึ้น ทั้งนี้ขึ้นอยู่กับระดับความลึกของฟันคุดที่ฝังอยู่ในกระดูกด้วย

เตรียมตัวก่อนผ่าฟันคุด

เตรียมตัวให้พร้อมก่อนผ่าฟันคุด ช่วยให้การผ่าตัดเป็นไปอย่างราบรื่นและฟื้นตัวได้ไวค่ะ

1. แจ้งข้อมูลสุขภาพให้ทันตแพทย์ทราบ
หากมีโรคประจำตัว เช่น เบาหวาน ความดันโลหิตสูง โรคหัวใจ หรือกำลังใช้ยาใด ๆ อยู่ (รวมถึงยาละลายลิ่มเลือด) ควรแจ้งให้ทันตแพทย์ทราบล่วงหน้า

ในบางกรณี หากมีโรคที่มีความเสี่ยงสูง ทันตแพทย์อาจต้องปรึกษาแพทย์เจ้าของไข้ก่อนเพื่อความปลอดภัย

2. นอนหลับพักผ่อนให้เพียงพอในคืนก่อนผ่า
การพักผ่อนดี ช่วยให้ร่างกายพร้อมและฟื้นตัวได้เร็วขึ้น

3. รับประทานอาหารให้เรียบร้อยก่อนมาผ่า
แนะนำให้ทานอาหารอ่อน ๆ ที่ย่อยง่าย ประมาณ 1–2 ชั่วโมงก่อนการผ่าตัด

4. พาผู้ดูแลมาด้วย (ถ้ามี)
หลังผ่าอาจมีอาการมึนหรืออ่อนเพลีย ควรมีคนช่วยดูแลหรือพากลับบ้าน

5. แจ้งล่วงหน้าหากกังวลเรื่องเสียงหรือกลัวการผ่า
หากรู้สึกกังวลเรื่องเสียงเครื่องมือหรือขั้นตอนระหว่างผ่า อาจพิจารณาใช้ ไนตรัสออกไซด์ (laughing gas) เพื่อช่วยให้ผ่อนคลาย

กรุณาแจ้งเจ้าหน้าที่ล่วงหน้าก่อนวันผ่า เพื่อเตรียมอุปกรณ์และแผนการดูแลให้เหมาะสมค่ะ

ทันตแพทย์เฉพาะทางอธิบายการผ่าฟันคุด เชียงใหม่ | oral surgeon explains wisdom tooth removal chiangmai

ผ่าฟันคุดที่ไหนดี

ข้อแนะนำในการเลือกสถานที่ผ่าฟันคุด

1. มีการถ่ายภาพเอกซเรย์ก่อนผ่า

ควรมีการถ่ายภาพเอกซเรย์ก่อนผ่าตัด เพื่อวางแผนการรักษาอย่างถูกต้อง โดยเฉพาะในกรณีที่ฟันคุดฝังลึกหรืออยู่ใกล้เส้นประสาท

2. มีทันตแพทย์เฉพาะทาง

ควรเลือกคลินิกหรือโรงพยาบาลที่มีทันตแพทย์เฉพาะทางสาขาศัลยศาสตร์ช่องปากและแม็กซิลโลเฟเชียล เพื่อให้การผ่าฟันคุดเป็นไปอย่างปลอดภัย และลดความเสี่ยงจากภาวะแทรกซ้อน

3. มีระบบการดูแลหลังผ่าฟันคุดที่ดี

เช่น มีการให้คำแนะนำเรื่องการดูแลแผล นัดติดตามอาการ และจ่ายยาอย่างเหมาะสมตามอาการ

4. สะอาด ปลอดภัย และได้มาตรฐาน

ควรเลือกสถานพยาบาลที่มีระบบการฆ่าเชื้อตามมาตรฐานทางการแพทย์อย่างเคร่งครัด เพื่อป้องกันการติดเชื้อแทรกซ้อนที่อาจเกิดจากการใช้เครื่องมือที่ไม่สะอาดหรือไม่ได้รับการฆ่าเชื้ออย่างเหมาะสม

ฟันคุดดันฟันซี่ข้างเคียง จนฟันผุ เชียงใหม่ | wisdom tooth pushing adjacent molar causing decay chiangmai

การดูแลตัวเอง หลังผ่าหรือถอนฟันคุดคำแนะนำหลังการถอนฟันหรือผ่าฟันคุด

1. ให้กัดผ้าไว้ประมาณ 1 ชั่วโมง เพื่อให้เลือดหยุดแล้วจึงเอาผ้าออก

2. อย่าใช้น้ำยาบ้วนปากภายในวันแรกของการถอนฟัน (ยาบ้วนปากให้ใช้ภายหลังจากการรับประทานอาหารทุกครั้งล้างปากให้สะอาด)

3. ถ้ามีอาการปวดขึ้นเกิดขึ้นภายหลังการถอนฟัน ให้รับประทานยาแก้ปวดตามคำสั่งของแพทย์หรือใช้ยา 2 เม็ด ทุก ๆ 5 ชั่วโมง สำหรับผู้ใหญ่ สำหรับเด็กใช้ 1 เม็ด ทุก ๆ 4 ชั่วโมง

4. ห้ามดื่มสุราหรือของเผ็ดร้อน

5. ถ้ามีการผ่าตัดในช่องปากอาจมีการบวมเกิดขึ้นได้ ควรใช้ถุงน้ำแข็งหุ้มผ้าประคบเพื่อลดอาการบวม

6. ห้ามดูดแผล หรือเอาสิ่งของใส่ลงไปในแผล เพราะจะทำให้เชื้อโรคลุกลามและทำให้เลือดออกมาก

7. ถ้าหากมีเลือดออกมาไม่หยุดภายหลังหรือออกในเวลากลางคืนให้ปฏิบัติดังนี้

7.1 ให้เอาผ้าก๊อส หรือผ้าสะอาดวางบนบาดแผลแล้วกัดให้แน่นประมาณ 1 - 2 ชั่วโมงโดยอย่าเปลี่ยนผ้าบ่อย ๆ

7.2 ใช้ถุงน้ำแข็งห่อผ้าสะอาดประคบภายนอกบริเวณการถอนฟัน

7.3 พยายามอย่าให้แผลถอนฟันได้รับการกระทบกระเทือนมาก

8. ห้ามบ้วนเลือดหรือน้ำลายในวันที่ถอนฟัน ถ้ามีเลือดซึมอยู่ให้จิบน้ำเย็นแล้วกลืนลงคอ

FAQs
คำถามที่พบบ่อย

  • ระยะเวลาในการพักฟื้นหลังผ่าฟันคุดจะแตกต่างกันไปในแต่ละบุคคล ขึ้นอยู่กับความซับซ้อนของการผ่าตัดและสภาพร่างกายของแต่ละคน โดยทั่วไปอาการปวดและบวมจะค่อย ๆ ทุเลาลงภายใน 3–7 วัน หากปฏิบัติตามคำแนะนำหลังผ่าฟันคุดอย่างเคร่งครัด จะช่วยให้ฟื้นตัวได้เร็วและลดโอกาสเกิดภาวะแทรกซ้อนได้

  • อาการข้างเคียงที่พบบ่อย

    • อาการปวด

    เป็นอาการที่พบได้บ่อยที่สุด อาจรู้สึกปวดตุบ ๆ หรือปวดอย่างรุนแรงบริเวณที่ผ่าตัด ยาแก้ปวดที่ทันตแพทย์สั่งจะช่วยบรรเทาอาการได้

    • อาการบวม

    เหงือกบริเวณที่ผ่าตัดอาจบวมแดง และจะค่อย ๆ ดีขึ้นภายใน 2–3 วัน การประคบเย็นในช่วงแรกจะช่วยลดอาการบวมได้

    • มีเลือดซึมออกมาเล็กน้อย

    อาจมีเลือดซึมจากแผลในช่วงแรก การกัดผ้าก๊อซตามคำแนะนำจะช่วยหยุดเลือดได้

    • อาการชา

    อาจรู้สึกชาบริเวณริมฝีปาก ลิ้น หรือคาง เนื่องจากฟันคุดอยู่ใกล้เส้นประสาท อาการชามักจะค่อย ๆ หายไปเอง โดยทั่วไปทันตแพทย์จะแจ้งความเสี่ยงนี้ให้ทราบก่อนเริ่มทำหัตถการ

    • การติดเชื้อ

    แผลผ่าตัดอาจติดเชื้อได้ หากไม่ได้ปฏิบัติตามคำแนะนำอย่างเคร่งครัด อาการที่มักพบได้คือ ปวดบวมมากขึ้น มีไข้ และมีหนองไหลออกจากแผล

    อาการอื่น ๆ ที่อาจพบได้

    • ปวดหู อาการปวดอาจร้าวไปถึงหู

    • ปวดศีรษะ อาจเกิดจากการอักเสบบริเวณแผล

    • กลิ่นปาก เกิดจากเศษอาหารติดค้างในแผล

    • อ้าปากลำบาก กล้ามเนื้อขากรรไกรอาจเกิดอาการเกร็งชั่วคราว

    อาการผิดปกติที่ควรรีบไปพบทันตแพทย์
    (แนะนำให้ตรวจสอบก่อนว่าได้ปฏิบัติตามคำแนะนำอย่างถูกต้องหรือไม่)

    • มีเลือดออกไม่หยุด หรือมีเลือดออกมากผิดปกติ

    • มีไข้สูง

    • ปวดมากขึ้นเรื่อย ๆ แม้รับประทานยาแก้ปวดแล้ว

    • บวมมากขึ้นเรื่อย ๆ

    • มีหนองไหลออกจากแผล

    • แผลมีกลิ่นเหม็น

    • มีอาการชาที่คงอยู่เป็นเวลานาน

  • ไม่จำเป็นว่าฟันคุดทุกซี่จะต้องผ่าออกเสมอไป การตัดสินใจว่าจะผ่าหรือไม่ ขึ้นอยู่กับหลายปัจจัย เช่น ตำแหน่งของฟันคุด ลักษณะการฝังตัว อาการแทรกซ้อนที่อาจเกิดขึ้น และความเสี่ยงต่อสุขภาพในระยะยาว โดยทันตแพทย์จะเป็นผู้ประเมินและให้คำแนะนำอย่างเหมาะสมสำหรับแต่ละบุคคล

    กรณีที่อาจไม่จำเป็นต้องผ่า ได้แก่ ฟันคุดที่ฝังอยู่ลึกมาก ใกล้เส้นประสาทหรือโพรงไซนัส หรือในผู้ที่มีโรคประจำตัว ซึ่งการผ่าตัดอาจก่อให้เกิดความเสี่ยงโดยไม่จำเป็น อย่างไรก็ตาม ควรมีการติดตามอาการและถ่ายเอกซเรย์อย่างสม่ำเสมอโดยทันตแพทย์ เพื่อประเมินความเปลี่ยนแปลงและวางแผนดูแลที่เหมาะสม

  • ระหว่างการถอนฟันหรือผ่าฟันคุด บริเวณที่ผ่าฟันจะได้รับยาชาเพื่อลดความรู้สึก คนไข้จะไม่รู้สึกเจ็บขณะทำหัตถการ แต่หลังจากยาชาหมดฤทธิ์แล้ว อาจมีอาการปวด บวม หรือระคายเคืองได้ ซึ่งเป็นเรื่องปกติ หลังการผ่าตัดสามารถทานยาแก้ปวดที่ทันตแพทย์แนะนำเพื่อบรรเทาอาการได้

  • อายุที่เหมาะสมในการเริ่มผ่าฟันคุดคือประมาณ 17 ปี เนื่องจากเป็นช่วงที่รากฟันยังงอกไม่เต็มที่ ทำให้การผ่าตัดทำได้ง่าย และร่างกายสามารถฟื้นตัวได้เร็วกว่าการผ่าตัดในช่วงวัยผู้ใหญ่ อย่างไรก็ตามอายุที่เหมาะสมอาจแตกต่างกันไปในแต่ละบุคคล ขึ้นอยู่กับตำแหน่งและลักษณะของฟันคุด ควรปรึกษาทันตแพทย์เพื่อตรวจเช็กและวางแผนการรักษาให้เหมาะสมกับแต่ละกรณี

    ในกรณีที่คนไข้กำลังจะจัดฟัน หากฟันคุดอยู่ในตำแหน่งที่อาจขัดขวางการเคลื่อนฟัน ทันตแพทย์จัดฟันมักจะแนะนำให้ถอน/ผ่าฟันคุดออกก่อนเริ่มการจัดฟัน

  • อาการกระดูกเบ้าฟันอักเสบ (dry socket)

    คืออะไร

    • เป็นอาการที่เกิดขึ้นหลังจากการถอนฟัน

    • เกิดจากลิ่มเลือดที่ปกติจะช่วยรักษาแผลหลุดออกไป ทำให้กระดูกและเส้นประสาทโผล่ออกมา

    อาการ

    • ปวดมาก

    • แผลมีกลิ่น

    สาเหตุ

    • ลิ่มเลือดหลุดออกจากเบ้าฟันเร็วเกินไป

    วิธีแก้ไข

    • ไปพบทันตแพทย์ ทันตแพทย์จะทำความสะอาดแผลและใส่ยาเพื่อกระตุ้นให้เกิดลิ่มเลือดใหม่

  • การใช้แก๊สหัวเราะ คลายความกังวลขณะทำฟันเชียงใหม่

    คลายความกังวลขณะทำฟัน ด้วยการดมแก๊สหัวเราะ หรือไนตรัสออกไซด์

  • CBCT X-ray

    เครื่องเอกซเรย์ 3 มิติความละเอียดสูง ให้ภาพคมชัด แม่นยำ ตรวจสอบโครงสร้างฟันและกระดูกได้ครบถ้วน ปลอดภัย สแกนรวดเร็ว รองรับการวางแผนการผ่าตัดที่ซับซ้อน

  • วางใจในผ่าฟันคุดกับทันตแพทย์เฉพาะทาง ปลอดภัย เจ็บน้อย ฟื้นตัวเร็ว

Don't let wisdom tooth pain disrupt your life. Contact us for an appointment.

Don't let wisdom tooth pain disrupt your life. Contact us for an appointment.

รีวิวหลังผ่าฟันคุดกับทันตแพทย์เฉพาะทาง เชียงใหม่ | patient review after wisdom tooth surgery chiangmai

ผ่าฟันคุดที่ Bigmouthten ด้วยเครื่องมือทันสมัย ปลอดภัย ใส่ใจทุกขั้นตอนการรักษา โดยทันตแพทย์เฉพาะทาง